افزایش ماندگاری رنگ کامپوزیت دندان
انواع رنگ کامپوزیت دندان
معمولا اولین منبعی که دندانپزشک شما، برای انتخاب رنگ کامپوزیت دندان به آن مراجعه خواهد داشت راهنمای شید دندانهاست. راهنمای شید دندان ها همانطور که در مقاله ی پیشین اصناف تبریز ذکر کردیم، رنگ دندان ها را به چهار دسته ی A، B، C و D تقسیم بندی می کند که به ترتیب، طیف این رنگ ها از قهوه ای به قرمز، از قرمز به زرد، از زرد به خاکستری مایل می باشند. این چهار دسته، درجه بندی متفاوتی از روشنی تا تیرگی دارند که با چهار شماره ی 1، 2، 3 و 4 دسته بندی می شوند. شماره 1 روشنترین و شماره ی 4 تیره ترین نوع رنگ بندی این طیف ها محسوب می شود.
عوامل موثر در دوام رنگ کامپوزیت دندان
در حالت کلی، دوام رنگ کامپوزیت دندان، از 5 تا 10 سال است که مدت دوام آن به عوامل مختلفی بستگی دارد.
جنس دندان
افراد مختلف، با توجه به ویژگی های ژنتیکی متفاوتی که دارند، دوام متفاوتی از رنگ کامپوزیت دندان را تجربه می کنند.
رعایت مراقبت ها
افرادی که نکات بهداشت دهان و دندان و توصیه های دندانپزشک خود را رعایت می کنند، کامپوزیت بادوامی را خواهند داشت.
برند کامپوزیت دندان
برندهای باکیفیت و معتبر کامپوزیت دندان، دوام بیشتری نسبت به جنس و مواد ارزانتر خواهند داشت.
روش نصب کامپوزیت دندان
تکنیک مناسب و اجرای دقیق کامپوزیت دندان توسط دندانپزشک، نقش بسیار زیادی در افزایش دوام رنگ کامپوزیت دندان شما دارد.

بهترین رنگ ها از نظر دوام کامپوزیت
یکی از توصیه هایی که توسط بهترین دندانپزشک تبریز در لیست دندانپزشکان تبریز به عنوان ترفند بهبود کیفیت رنگ کامپوزیت دندان ارائه می شود، این است که قبل از اقدام به اجرای کامپوزیت دندان، اقدام به سفید کردن دندانهای خود بکنید. بلیچینگ دندان در بیشتری حد سفیدی خود، می تواند باعث بیشتریت تطابق کامپوزیت دندان، با رنگ طبیعی دندان های شما بشود. زیرا بدون هیچ زردی و جرمی، روی رنگ واقعی دندان های شما قرار می گیرد. در نتیجه کامپوزیت دندان شما به مرور زمان، غیرطبیعی و نازیبا جلوه نمی کند.
نحوه ی انتخاب بهترین رنگ کامپوزیت دندان
همانطور که در مقاله ی پیشین هم گفتیم، دندانپزشک شما، بر اساس معیارهای متنوعی چون رنگ چشم، مو، پوست، شخصیت، شغل، سلیقه، شکل صورت و فک شما شید رنگی و شماره رنگی را پیشنهاد می کند که بیشترین میزان سازگاری با چهره و دهان شما داشته باشد.
معمولا دندانپزشک ابتدا با راهنمای شید کامپوزیت دندان، ترکیبی از کامپوزیت ها و رزین ها در رنگ های مختلف را مقابل دندان های شما می گیرد و بررسی می کند تا مناسبترین و نزدیک ترین رنگ به دندان و چهره ی شما را پیدا کند. در نهایت، چند پایه ی رنگی دسته بندی شده را به شما پیشنهاد می دهد تا در طول مشاوره بهترین رنگ ممکن را با همدیگر انتخاب کنید.
البته، یکی از مهمترین عوامل برای افزایش دوام رنگ کامپوزیت دندان، لایه گذاری کامپوزیت دندان است که معمولا دندانپزشکان باتجربه و ماهر، برای افزایش دوام کامپوزیت دندان از لایه لایه گذاشتن کامپوزیت دندان استفاده می کنند. در این روش اجرای کامپوزیت دندان، هم رنگ کامپوزیت شما طبیعی تر و زیباتر جلوه می کند، هم دوام بالایی خواهد داشت. در نهایت با ارائه ی توصیه مراقبت های بعد از کامپوزیت دندان، به شما یک خمیردندان مخصوص کامپوزیت دندان پیشنهاد خواهد کرد که به حفظ دوام رنگ کامپوزیت شما کمک خواهد کرد. لازم است بدانید این خمیردندان صرفا جهت حفظ تمیزی دندان های شماست و به هیچ عنوان نباید حاوی مواد سفید کننده دندان باشد. اگر میخواهید لیست دندانپزشکان تبریز را مشاهده نمایید روی وبسایت اصناف تبریز کلیک کنید.
اگه شما هم می خواید تو لیست بهترین دندانپزشکان تبریز باشید، اینجا کلیک کنید.
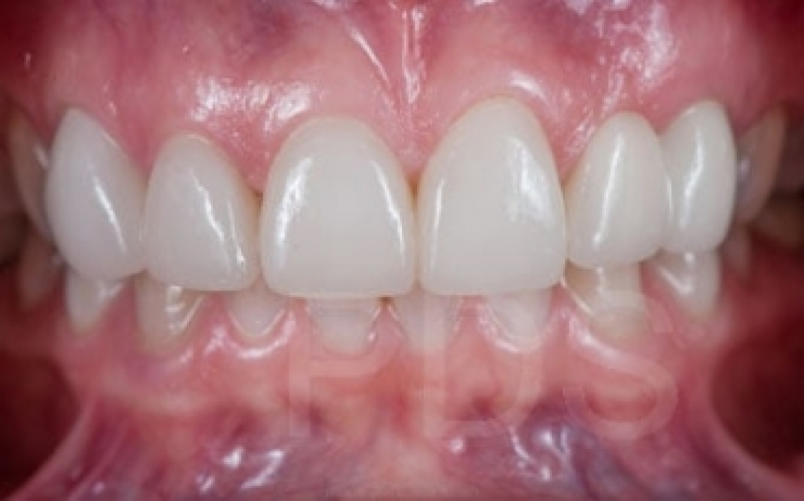
رنگ های پرطرفدار کامپوزیت دندان در تبریز
معمولا وقتی از رنگ های پرطرفدار کامپوزیت دندان صحبت به میان می آید، منظورمان رنگ هاییست که بیشتر افراد محبوب ما استفاده می کنند. از آنجایی که سلبریتی ها و هنرمندان ایرانی، به شاداب و جذاب به نظر رسیدن علاقه مند هستند، معمولا روشنترین طیف رنگ رنگی را انتخاب می کنند. رنگ A1 سفید ترین رنگ کامپوزیت دندان می باشد. البته لازم به ذکر است که رنگ A1 با توجه به اینکه توسط شرکت ها و برندهای مختلفی تولید می شوند، ممکن است اختلاف جزئی در طیف رنگی خود داشته باشند. بر اساس تجربیات بهترین دندانپزشک تبریز رنگ A1 الترادنت، رایج ترین رنگ سفید کامپوزیت دندان است که توسط هنرمندان استفاده می شود. این رنگ برای اصلاح طرح لبخند بسیار مناسب به نظر می رسد و از جمله رنگ های سفید روشنی است که طبیعی هم دیده می شود و اگر شما رنگ پوست روشنی دارید و به دنبال انتخاب طیف سفید از رنگ ها هستید، این برند برای شما مناسب خواهد بود. همچین آلترادنت A1 شیدی است که دوام بسیار بالایی در رنگ خود دارد. در نتیجه اگر افزایش ماندگاری رنگ کامپوزیت دندان برای شما مهم است، بدانید این رنگ در برابر زرد شدن تا حد زیادی مقاوم است.
مقاوم ترین رنگ از نظر دوام پس از A1، B1 است که باز هم از رنگ های انتخابی سلبریتی ها محسوب می شود. این رنگ هم یک شید سفید رنگ دارد، اما با توجه به اینکه میزان درخشش آن نسبت به A1 کمتر است، طبیعی تر جلوه می کند و توجه زیادی را به خود جلب نمی کند.

سفیدترین رنگ کامپوزیت کدام است؟
همانطور که گفتیم، سفیدترین شید کامپوزیت دندان، A1 می باشد که وقتی در مورد افزایش دوام کامپوزیت دندان می خواهیم صحبت کنیم، مقاومترین شید محسوب می شود. همچنین از بین رنگ های کامپوزیت دندان در تبریز، که طرفدار زیادی هم دارد، رنگ A3 است که جذابترین و طبیعی ترین رنگ در بین طیف های A می باشد. این رنگ، طبیعی ترین رنگ به دندان های طبیعی بیشتر افراد بوده و هیچ جلب توجهی نخواهد داشت و به عبارتی، کسی نمی فهمد این دندان های طبیعی خود شما نیست!
هنگام انتخاب بهترین دندانپزشک تبریز از اصناف تبریز، به این نکته هم توجه کنید، یک دندانپزشک حرفه ای و مجرب، با انتخاب مناسبترین رنگ و مواد، برای دندان های شما از پرداخت هزینه های بیشتر جلوگیری کرده و حتی مانع ترمیم های بعدی کامپوزیت دندان شما هم خواهد شد.
خوشرنگ ترین برندهای کامپوزیت دندان
رنگ XL از برند KERR
این رنگ از برند KERR که یک برند کامپوزیت دندان آمریکایی است، به عنوان معروف ترین تولیدکننده کامپوزیت دندان هم از نظر کیفیت و هم از نظر رنگ، شناخته می شود. این رنگ یکی از پرطرفدارترین رنگ ها در سرتاسر دنیاست که از شیدهای سفید محسوب نمی شود و جلوه ی طبیعی دارد. علاوه بر اینکه این رنگ طیف سفید ندارد، کیفیت و دوام بسیار بالایی هم دارد که به علت بیشترین تطابق آن با دندان های شماست.
رنگ BW از برند شفو
کمپانی شفو ژاپنی یکی دیگر از برندهای تولید کننده کامپوزیت دندان است که شید BW از آن، سفیدترین رنگ است که لقب لبخند هالیوودی به خود گرفته است.
رزین های این کامپوزیت، بسیار درخشان بوده، از نظر ظاهری کیفیت بسیار بالایی دارد. در برابر فشار و سایش قدرت تحمل بالایی دارد، چسبندگی آن خوب بوده و با توجه به اینکه با بافت دهان و دندان سازگاری بیشتری دارد، برای اصلاح طرح لبخند، پرکاربردترین برند کامپوزیت دندان محسوب می شود.
شید رنگ BW از برند شفو
شید رنگ BW از کمپانی شفو که یکی از برندهای مشهور کامپوزیت دندان ژاپنی است، سفیدترین رنگ و در اصطلاح همان لبخند هالیوودی عرضه شده بهوسیله این برند است و این کامپوزیت دندان در تبریز هم بر اساس گفته های بهترین دندانپزشک تبریز طرفداران بسیاری دارد.
رزینهای کامپوزیت شفو با شید رنگ BW درخشندگی بسیار زیادی دارند و ازنظر فیزیکی خصوصیات و کیفیت خوبی را عرضه میکنند و به دلیل مقاوم بودن در مقابل سایش، چسبندگی خوب و سازگار بودن با بافت دهان و دندان، رزینهای کامپوزیت برند شفو در مطبهای دندانپزشکی بیشتر کلینیکهای درمانی زیبایی برای اصلاح طرح لبخند استفاده میشوند.

رنگ کامپوزیت دندان تغییر می کند؟
با توجه به پیشرفت روز افزون علم و تکنولوژی، تنوع گسترده ای از برندهای کامپوزیت دندان در بازار وجود دارند که کیفیت خوبی هم دارند. اما با همه ی اینها، هنوز هیچ برندی ادعا نکرده کامپوزیت تولید شده توسط او، تغییر رنگ و زرد شدن ندارد. بسیاری از افراد به دلیل ترس و اکراه از زرد شدن کامپوزیت دندان، در تردید هستند. در صورتی که بارها ذکر کرده ایم، با نکات مراقبتی می توان تا میزان 85 – 90 درصد از تغییر رنگ کامپوزیت دندان جلوگیری کرد.
البته در نکات افزایش ماندگاری رنگ کامپوزیت دندان، بارها گفته می شود که برند کامپوزیت، مواد تشکیل دهنده و در کل کیفیت کامپوزیت دندانی که برای شما اجرا می شود در دوام و ماندگاری رنگ آن تاثیر بالایی دارد. هر چه میزان مواد پلاستیکی در کامپوزیت دندان کمتر استفاده شود، دوام پایینتری نسبت به تغییر رنگ خواهد شد. در مقابل هر چه مواد پلاستیکی با درصد بالایی در کامپوزیت دندان استفاده شود، در ماندگاری رنگ کامپوزیت دندان تاثیر خواهد داشت. این نکته ای است که بهترین دندانپزشکان تبریز همیشه به آن توجه دارند.
اصلاح رنگ کامپوزیت دندان
در صورتی که کامپوزیت دندان شما دچار تغییر رنگ یا زردی شد، دندانپزشک شما، با توجه به نوع لک ها و میزان شدت و نفوذ آنها نسبت به لک گیری اقدام می کند. در صورتی که بخش کوچکی از کامپوزیت شما دچار لک بشود، به سادگی قابل ترمیم خواهد بود. اما در صورتی که لک ها وسیع باشند نیاز به پولیش برای اصلاح رنگ خواهند بود. در صورتی که نفوذ زردی عمیقتر باشد باید کامپوزیت دندان تعویض شود. بیشتر این تغییر رنگ ها در اثر عدم رعایت بهداشت دهان و رژیم اصولی غذایی می باشد.
چرا باید قبل از کامپوزیت دندان، بلیچینگ انجام داد؟
برای اینکه رنگ کامپوزیت دندان بهتر انتخاب شود و بیشترین مطابقت را با رنگ واقعی دندان های شما داشته باشد، توصیه می شود قبل از اقدام به کامپوزیت دندان، دندان های خود را سفید کنید. با این کار، مخصوصا اگر دندان های شما زرد شده باشد، دو الی سه درجه روشنتر خواهد شد. در نتیجه دندانپزشک شما راحت تر و دقیق تر می تواند رنگ کامپوزیت دندان شما را انتخاب کند.

چگونه از تغییر رنگ کامپوزیت دندان پیشگیری کنیم؟
اولین نکته در مورد مراقبت از رنگ کامپوزیت دندان این است که کامپوزیت دندان به مراقبت بیشتری نسبت به دندان های طبیعی شما نیاز دارد. در نتیجه پس از انجام کامپوزیت دندان، باید مراقبت های شما از دندان ها بیشتر از قبل شود.
پس از میل کردن غذاهای حاوی رنگدانه های شدید، چای و قهوه فورا مسواک بزنید.
مسواک نباید تنها راه تمیز کردن دندان ها باشد، زیرا نمی تواند فواصل بین دندان ها را به خوبی تمیز کند. پس با نخ دندان هم آشتی کنید و به خصوص در زمان هایی که نمی توانید مسواک بزنید، با نخ دندان و آب کشی دهان بقایای مواد غذایی را از بین دندان ها تمیز کنید.
استعمال دخانیات می تواند تاثیر بسیار بزرگی در رنگ کامپوزیت دندان شما داشته باشد. اگر شما هم متقاضی کامپوزیت دندان در تبریز هستید، برای مشاوره بهترین دندانپزشک تبریز اقدام نمایید. به شما می گوید مصرف دخانیات را به حداقل ممکن و حتی به صفر برسانید.
استفاده از دهانشویه و حفظ بهداشت دهان هم می تواند در ماندگاری رنگ کامپوزیت دندان تاثیر داشته باشد؛ اما قبل از مصرف حتما با دندانپزشک خود در این مورد صحبت کنید.
استفاده زیاد از مسواک می تواند باعث کدر شدن سطح کامپوزیت دندان ها شود؛ در نتیجه به طور منظم برای پولیش سطح کامپوزیت ها، به دندانپزشک خود مراجعه نمایید. برای مشاهده لیست دندانپزشکان تبریز می توانید به اصناف تبریز مراجعه نمایید.
