کامپوزیت دندان چیست؟
کامپوزیت دندان، یکی از رایج ترین روش ها برای سفید و زیبا کردن دندان به شمار می رود. در افزایش زیبایی لبخند تاثیر به سزایی دارد و در صورتی که دندان هایتان آسیب جزئی داشته باشد کامپوزیت دندان می تواند در ترمیم آنها کمکتان کند.
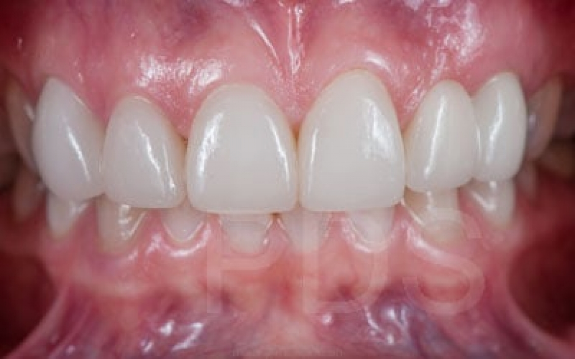
مواد تشکیل دهنده کامپوزیت دندان در تبریز
کامپوزیت دندان، از موادی ساخته شده که به سفید شدن دندان ها، ترمیم شکستگی های جزئی و لب پریدگی دندان ها و همچنین مرتب کردن دندان ها کمک کند. اما همانطور که می دانید اگر کامپوزیت شما کیفیت قابل قبولی نداشته باشد یا به عبارتی موادی که در آن به کار رفته از استاندارد کافی برخوردار نباشد، قطعا شما را متحمل درمان های جانبی دیگری کرده و متحمل هزینه های بیشتری خواهید شد. پس برای ایجاد رضایت از کامپوزیت دندان، مهم است مواد باکیفیتی در کامپوزیت شما به کار رفته باشد تا رنگ طبیعی، دوام قابل قبول و تحمل فشار بالا را همزمان داشته باشد.
مواد اصلی کامپوزیت دندان
مواد به کار رفته در کامپوزیت دندان باید نسبت مناسب و استانداردی داشته باشد تا ماندگاری بالایی روی دندان های شما داشته و خاصیت ترمیم پذیری بالا داشته باشد. پر کننده معدنی، ماتریس الی خالص، بازدارنده پلیمری، طیف مختلف رنگ های سفید، کاتالیزرها موادی هستند که در ساخت کامپوزیت دندان به کار می روند. این مواد اگر با مقدار و دوز مناسب ترکیب شوند، رنگ کامپوزیت بسیار طبیعی و متناسب با دندان ها خواهد شد؛ علاوه بر آن استحکام قابل قبولی داشته و نمای زیبا و طبیعی نهایی هم خواهد شد.
در مقابل، هر چه کیفیت و ترکیب مواد پایین باشد، عمر کامپوزیت کم بوده و شخصی که کامپوزیت دندان انجام داده مجبور است با فاصله ی زمانی بسیار کمی برای ترمیم دندان به کلینیک مراجعه نماید.
تصور کنید موقع خوردن غذا، قسمتی از کامپوزیت دندان شما جدا شد! یا موقع مسواک زدن حس کنید کامپوزیت شما خورد شده و تکه تکه از دندان شما جدا می شود. چه حسی پیدا می کنید؟ باز هم حس خوب و رضایتی نسبت به کامپوزیت دندان خواهید داشت؟ قطعا نه! پس کیفیت مواد به احساس مثبت یا منفی شما هم تاثیر می گذارد و هر چه مواد کامپوزیت شما کیفیت مناسب و قابل قبولی داشته باشد رضایت شما هم بالاتر بوده و احساس خوبی نسبت به دندان های خود خواهید داشت. برای مشاهده بهترین دندانپزشک تبریز برای انجام کامپوزیت دندان در تبریز می توانید به سایت مشاغل تبریز مراجعه نمایید.

ویزگی های مواد مناسب کامپوزیت
ترک، شکستگی، لب پر شدن دندان ها، حساسیت دندان یا لثه ها از مواردی هستند که به عنوان عوارض کامپوزیت دندان نامناسب توسط دندانپزشک با مهارت پایین ممکن است برای شما ایجاد شود. در مقاله های قبلی کامپوزیت دندان هم برایتان بارها تکرار کردیم، هر چه کامپوزیت دندان با بی دقتی یا با مهارت پایین انجام شود، می تواند این عوارض را تشدید کند. مواد تشکیل دهنده کامپوزیت شما هر چه کیفیت بالایی داشته و توسط شخص ماهر و متخصص بر روی دندان شما گذاشته شده باشد، اثربخشی آن افزایش می یابد.
کامپوزیت دندان، یک ترکیب جامد غیریکنواخت است که موادی که در آن به کار رفته به صورت کاملا مکانیکی با هم ترکیب شده اند. این مواد با بهره گیری از برخی فرمول های شیمی ساخته شده اند تا برای شما دندان هایی زیبا و سفید فراهم کنند. به صورتی که این مواد با ترکیب شدن، علاوه بر اینکه ماهیت اصلی خود را حفظ می کنند در مجموع ترکیب جدیدی به نام کامپوزیت دندان را هم به وجود می آورند. کامپوزیت در علم مهندسی و برخی علوم های دیگر هم کاربرد زیادی دارد و محدود به حوزه ی دندانپزشکی نیست.
کامپوزیت ها، مخلوط ها و محلول های جامد مختلفی را شامل می شوند و هرکدام ماهیت خاص خود را دارند. ترکیبی که برای تولید کامپوزیت دندان استفاده می شود به نحوی فرمول شده که با تابیدن اشعه های فرابنفش سفت و محکم شده و در صورتی که مراقبت های لازم آن را رعایت کنید عمر طولانی هم خواهد داشت. می توانید مقاله ی مراقبت های بعد از کامپوزیت دندان را اینجا بخوانید.
هر چه جلو می رویم و با پیشرفت در علم روبرو می شویم، عرصه های پیشرفت بیشتری را هم در حوزه کامپوزیت دندان مشاهده می کنیم. هر چه علم نانو پیشرفت می کند کامپوزیت دندان هایی که تولید می شوند کیفیت بالاتری دارند و در نتیجه سازگاری بیشتری با دندان های خود فرد دارند؛ همچنین دوام و توان بالایی در فشارها هم خواهند داشت. نانوکامپوزیت ها، جدیدترین نسل کامپوزیت دندان هستند که نمای نهایی طبیعی تری نسبت به کامپوزیت داشته و اتحکام بالایی هم دارند. مواد به کار رفته در نانوکامپوزیت ها، مورد تایید بوده و در برابر تغییرات و فشار و آسیب ها مقاومت بالاتری از خود نشان می دهند. از نظر رنگ و ساختار شباهت بسیار بیشتری به دندان های اولیه داشته و پس از فرم دهی روی دندان، در مدت زمان بسیار کمتری پولیش و آماده می شوند. اگر شما هم علاقمند به کامپوزیت دندان در تبریز هستید می توانید به بهترین دندانپزشک تبریز مراجعه نمایید.
کامپوزیت دندان رفته رفته تنوع بیشتری به خود می گیرد که باعث می شود بر کیفیت کامپوزیت دندانی که انتخاب می کنید تاثیر بگذارد، بر عمر مفید کامپوزیتتان تاثیر بگذارد و در نهایت، قیمت های مختلفی هم داشته باشد. قیمت های مختلف باعث می شود رنگ کامپوزیت دندان متنوع تر بوده و ارتباط مستقیمی با مواد استفاده شده داشته باشد. گاهی می بینیم کامپوزیت دندان هایی استفاده شده که هیچ شباهتی به دندان واقعی نداشته و رنگ و نمای نهایی طبیعی ندارد. یا در مقابل با کوچکترین ضربه ای آسیب دیده و تحمیل فشار کافی را ندارد. پس در نتیجه هر چه مواد کیفیت بالاتری داشته باشد کامپوزیت شما هم باکیفیت تر خواهد بود و قیمت بالاتری هم خواهد داشت.
در کمال تاسف، خیلی از افراد، صرفا به دنبال زیباتر کردن دندان های خود هستند و به همین منظور، از هر محصول و مواد و خدماتی استفاده می کنند و برایشان کیفیت مواد و درجه ی کیفی آن اصلا مهم نیست. خصوصا که امروزه تقاضا برای روش های ترمیمی و زیبایی بیشتر شده و سبک زندگی افراد باعث می شود مشغله ی بسیاری داشته باشند، برایشان نتیجه ی نهایی مهم است نه کیفیت و موادی که استفاده می شود.

اگه شما هم می خواید تو لیست بهترین دندانپزشکان تبریز باشید، اینجا کلیک کنید.
مزایای کامپوزیت دندان باکیفیت
اولین مورد استفاده ی کامپوزیت دندان، پر کردن دندان هاست. کسانی که دوست دارند در عین پر کردن دندان هایشان، رنگ طبیعی و زیبای دندان خود را نیز حفظ کنند، کامپوزیت دندان برایشان گزینه ی ایده آلی به نظر می رسد که گران تغییر رنگ دندان های خود نخواهند بود.
در صورتی که کامپوزیت دندان توسط افراد متخصص و باتجربه انجام شود، یک روش ترمیمی بی خطر می باشد که نیازی به تراش دادن و نازک کردن دندان نبوده و عوارض منفی هم برای فرد به دنبال نخواهد داشت. همچنین کسانی که علاقه دارند دندان های سفیدتری داشته باشند اما زمان کافی برای سایر روش ها ندارند، می توانند با تعداد جلسات محدود اقدام به کامپوزیت دندان نموده و به زودی صاحب دندان های جدید و ظاهر لبخندی نو شوند. اگر چه در مقاله های قبلی گفتیم کامپوزیت دندان نسبت به لمینت دندان استحکام و تحمل فشار کمتری دارد، اما از آنجایی که در این روش تراشیدن مینای دندان اتفاق نمی افتد بیشتر افراد تمایل دارند با کامپوزیت دندان نسبت به زیبایی دندان های خود اقدام کنند. چون احتمال پوسیدگی و مستعد پوسیدگی شدن دندان ها در روش هایی که سطح دندان تراش می خورد بالاتر می رود. مراکز کامپوزیت دندان در تبریز بسیار زیاد است برای مشاهده بهترین دندانپزشک تبریز می توانید به سایت مشاغل تبریز مراجعه نمایید تا قبل از هر تصمیمی معاینات لازم انجام شود و مطمئن شوید این روش ترمیمی برای دندان های شما مناسب است یا خیر.
معایب مواد تشکیل دهنده کامپوزیت دندان
از آنجایی که گل بی خار خداست، می دانیم که کامپوزیت دندان هم میتواند عوارضی برای شما به همراه داشته باشد. البته که این عوارض فرد به فرد متفاوت می باشد و ممکن است اصلا اتفاق نیفتد یا با شدت بیشتری اتفاق بیفتد. همچنین هنر و تخصص دندانپزشک شما هم می تواند روی کیفیت بیشتر کامپوزیت دندانتان تاثیر بگذارد. پس کیفیت مواد تشکیل دهنده و تخصص دندانپزشک شما مواردی هستند که می توانند روی حس مثبت یا منفی شما نسبت به کامپوزیت دندان تاثیر بگذارند.
اما در کل، حساس شدن دندان های شما نسبت به تغییرات گرمایی و سرمایی پس از کامپوزیت دندان می تواند اتفاق بیفتد که به عنوان یکی از عوارض کامپوزیت دندان ذکر می شود. خصوصا اگر کسی هستید که دندان های حساسی دارید این اتفاق ممکن است با شدت بیشتری برای شما اتفاق بیفتد که کاملا طبیعی است.
همچنین تا چند روز پس از کامپوزیت دندان، از جویدن و گاز زدن خوراکی های سفت و در کل فشار آوردن به دندان های خود جلوگیری کنید تا صدمه ای به دندان ها و کامپوزیت شما نرسد. همچنین برای کاهش میزان حساسیت دندان ها به تغییرات دما، از نوشیدنی و خوراکی های خیلی گرم و خیلی سرد دوری کنید.

مرتب سازی دندان با کامپوزیت
در صورتی که دندان های شما، به خصوص دندان های جلویی نظم درستی نداشته باشند و در حالت طبیعی چیدمان خود قرار نگرفته باشند، معمولا در صورتی که این کج شدگی ها بسیار خفیف باشد، یکی از گزینه های مناسبی که می تواند برای ترمیم آنها استفاده شود کامپوزیت دندان است. لمینت و کامپوزیت دندان می تواند این کج شدگی های خفیف را از بین ببرد و نیازی به استفاده طولانی مدت از ارتودنسی دندان نداشته باشید. اما به خاطر داشته باشید کیفیت مواد کامپوزیت دندان در تبریز و همچنین هنر و تخصص بهترین دندانپزشک تبریز، در مرتب کردن دندان ها، از اهمیت بسیار بالاتری برخوردار هستند. زیرا در صرفا زیباسازی دندانها، کامپوزیت روی دندانهای شما جاگذاری می شود در صورتی که اگر دندان های شما کج و عقب و جلو رفتگی داشته باشد، کامپوزیت شما باید استحکام بیشتری داشته باشد تا بتواند در قسمت هایی که کامپوزیت دندان نقش دندان شما را به عهده دارد، قدرت و ظاهر خود را حفظ کند.
ممنون که تا اینجا با ما در سایت مشاغل تبریز همراه بودید. امروز بر آن بودیم تا در مورد مواد تشکیل دهنده ی کامپوزیت دندان و اهمیت کیفیت موادی استفاده می شود با شما صحبت کنیم. حتما قبل از اقدام با بهترین دندانپزشک تبریز مشورت نمایید تا بهترین نتیجه ی مطلوب را از کامپوزیت دندان در تبریز بگیرید. اگر شما هم تجربه ای در این مورد دارید، حتما با ما در میان بگذارید.